TOP RATED DENTAL IMPLANT DENTIST IN SUNSET – KENDALL
Restore your smile & oral functionality with a dental implant treatment!
Don’t suffer with missing teeth or loose dentures.
Request your appointment at our Sunset/ Kendall office today!
Take advantage of our limited time offers!

Free Dental Implant Consultation
Exam with doctor & treatment options

Implant & Crown - From $90/mo*
Includes exam and doctor consultation (*w.a.c)

Complete Arch Reconstruction
Free Consultation
Request your free
consultation today!
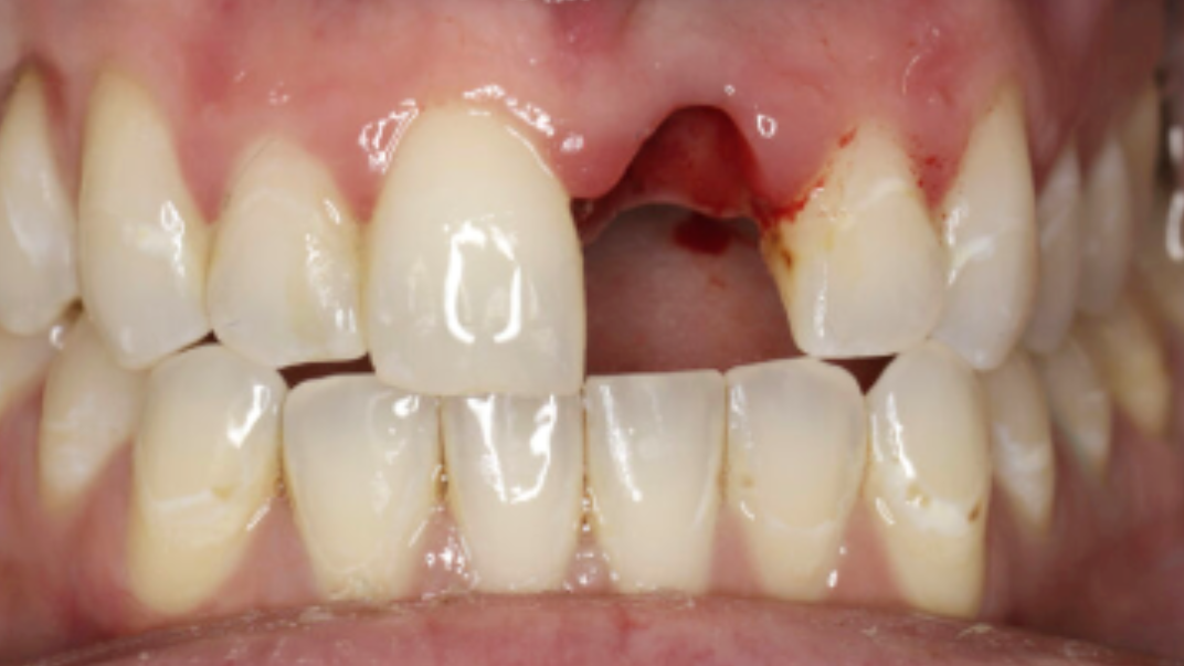
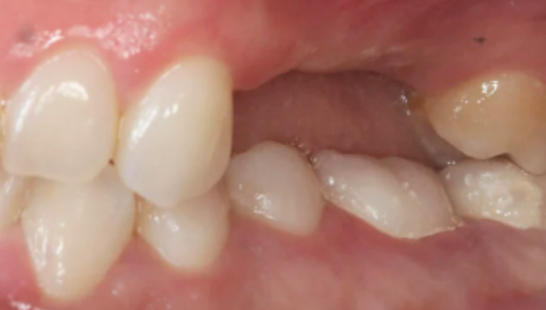
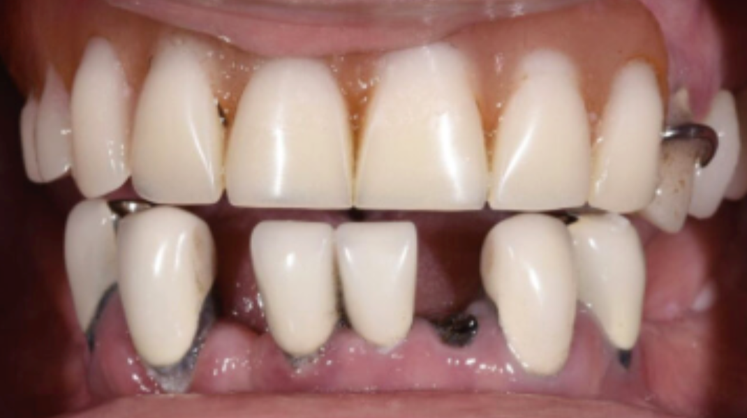
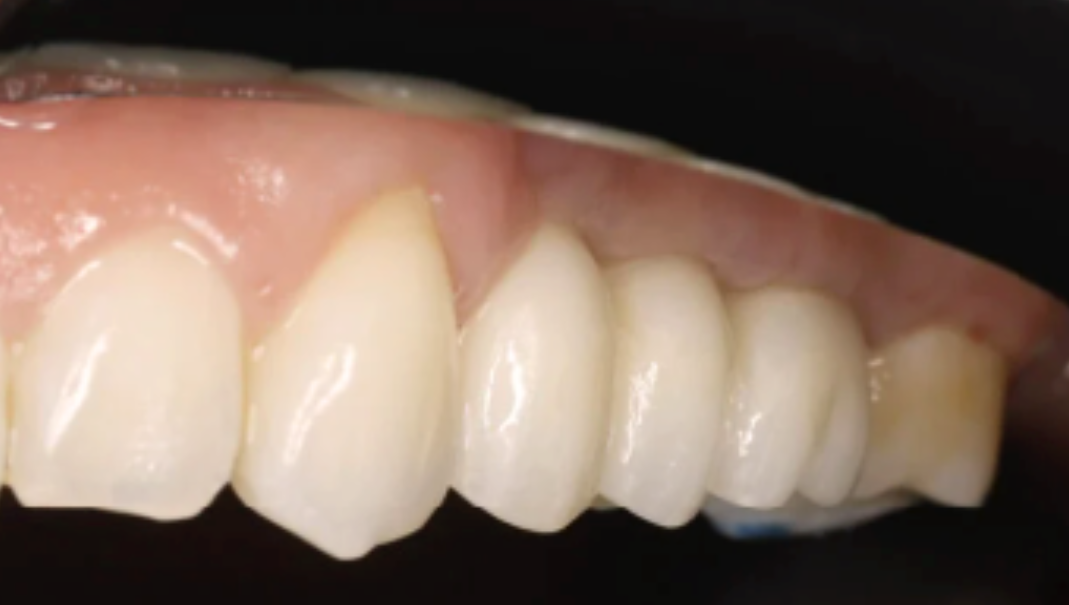
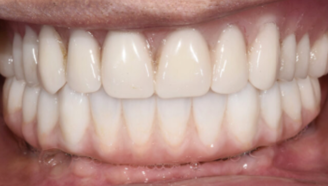
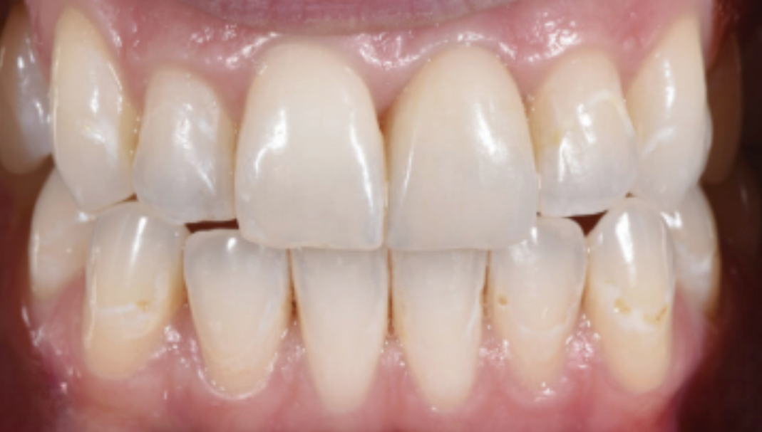
Check out these amazing results!



Meet Dr. Antonio Hernandez
Implant & Cosmetic Dentist
- Over 20 years of dental excellence
- Utilizes the latest technologies
- Specialized training at American Academy of Implant Dentistry
- Implant Restorations training at Pankey Institute
- Complete smile reconstructions training
- Member of the American Dental Association
- Member of the Florida Dental Association
Years of Dental Excellence
Happy Patients
Dental Implants Placed
We are 5-star rated!
What are Dental lmplants
Dental implants are artificial tooth roots surgically placed in your jawbone. Made of titanium or ceramic, they act as anchors for crowns, bridges, or dentures. Unlike dentures that can slip, implants fuse with your jawbone for a secure fit. This stability allows you to chew comfortably and speak clearly, mimicking the function of natural teeth. Implants also prevent bone loss in the jaw, maintaining your facial structure and youthful appearance.
Advantages of Dental Implants
Dental implants shine as a long-term solution for missing teeth. Unlike dentures, implants fuse with your jawbone, preventing bone loss and mimicking natural tooth roots. This translates to better chewing, speech, and facial structure. Implants are cared for like natural teeth, reducing maintenance hassles. Plus, they are designed to last a lifetime, saving you money in the long run. While the initial investment might be higher, the advantages of dental implants make them a worthwhile choice for a confident, healthy smile.
Advantages
- Long lasting
- Feel and look natural
- Prevents bone loss
- Improved speech
- Eat what you want
- High success rate
Address
10033 SW 72 Street. Miami FL 33173
Call Us
305-419-2350
Office Hours
Monday-Thurs:
9-6pm
Accessibility Disclosure: Our website’s accessibility menu can be enabled by clicking the accessibility menu icon (blue round person) that appears on the middle of the page. After triggering the accessibility menu, please wait a moment for the accessibility menu to load in its entirety. Our office makes continuous efforts to constantly improve the accessibility of our website and services. We make accessibility a priority to provide our users a seamless, accessible and unhindered use of digital platform.
In an ongoing effort to continually improve and remediate accessibility issues. We make every effort to make all pages and content on our website fully accessible. If you are having trouble with any content on our website and require assistance with any part of our site, please contact us during normal business hours and we will be happy to assist.
